Kérdése van? Hívjon minket! +36-30/278 7634

PaX-i panorámakészülék

PaX-i panorámakészülék

Pax-i egy egyszerű és megfizethető megoldás a hagyományos röntgendiagnosztikára a fogászatban, amelyet a VATECH fejlesztett ki innovatív technológiai know-how felhasználásával, az emberiség egészségére törődve.

Részletek

Pax-i egy egyszerű és megfizethető megoldás a hagyományos röntgendiagnosztikára a fogászatban, amelyet a VATECH fejlesztett ki innovatív technológiai know-how felhasználásával, az emberiség egészségére törődve.

Technológia

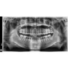
  • Páratlan képminőség
  • A legmegbízhatóbb és legbiztonságosabb képalkotó rendszer
  • Képalkotó programok széles választéka minden diagnosztikai alkalmazáshoz
  • Az optimális felszerelés az Ön igényeinek megfelelően
  • Egyszerű és kompakt kialakítás

Pax-i a VATECH teljesen digitális röntgendiagnosztikai képalkotó rendszere, amelyet kifejezetten az emberek káros ionizáló sugárzása elleni biztonság és környezetvédelem javítására terveztek

Optimális képalkotási minőség a fogászati diagnosztikához

Pax-i a legpontosabb és legmagasabb panorámaképet készíti a műszaki fejlődésnek és a VATECH röntgengépek gyártásában és használatában szerzett hatalmas tapasztalatnak köszönhetően.

  • Többféle képalkotási mód az összes diagnosztikai követelmény teljesítéséhez
  • Képesség a fogív alakjának és a csontsűrűségnek a jobb dózisadaptáció érdekében
  • A Gyors szkennelési mód, a szegmentálási programok és a Gyermek mód úgy vannak kialakítva, hogy csökkentsék a sugárterhelést, miközben időt takarítanak meg

EzDent-i szoftver

  • Az EzDent-i szoftver elektronikus fájlt tart fenn a betegadatokkal és a betegek képeivel
  • A tárolt képek a helyi hálózat bármely számítógépéről megtekinthetők és digitálisan feldolgozhatók szűrőkkel
  • Hatékonyabbá és vizuálisabbá teszi a pácienskonzultációt azáltal, hogy többablakos felületet szervez az információk megjelenítéséhez, például a kezelés előtt és után.

Intuitív felhasználói felület és különféle fényképezési módok

TANULMÁNY KIVÁLASZTÁSA

FOGÍV KUTATÁSI MÓD
Panoráma felfedezés Keskeny / Normál / Széles / Baba Normál / Jobb / Balra / Elöl
Ortogonális Ortogonális Standard/ Jobb/ Bal/Elöl/Harapás Standard/ Jobb/Bal/Elöl
Speciális mód Normális

TMJ Hátsó-elülső (opcionális)
TMJ nyitó/záró oldalsó szinusz vetület
Közvetlen szinusz vetület Oldalsó vetület
(opcionális)

Főbb jellemzők
  • Producer Vatech
  • OrszágKorea (Dél)
  • Garancia (hónap) 120
  • Kefalosztát jelenléte Opció

További jellemzők

  • Feszültség 50 - 90 kV/áram: 4 - 10 mA
  • Szkennelési idő Normál 13,5 mp
    Gyors 10,1 mp
  • Fókuszpont 0,5 mm
  • Funkciók Panoráma
  • A páciens pozicionálása Ülve állva
  • Érzékelő típusa CMOS
  • Szürkeárnyalatos 14 bites

A termék méretei

  • Nettó tömeg (gramm)120000
  • Nettó hossz (mm)2300
  • Nettó szélesség (mm)1060
  • Nettó magasság (mm)1200
Adatok
Cikkszám
PaX-i